Skip to main content

Recovering from Crown Lengthening Surgery

This feels like a good weekend for relaxing in bed, eating soft foods, and catching up on The Simpsons.

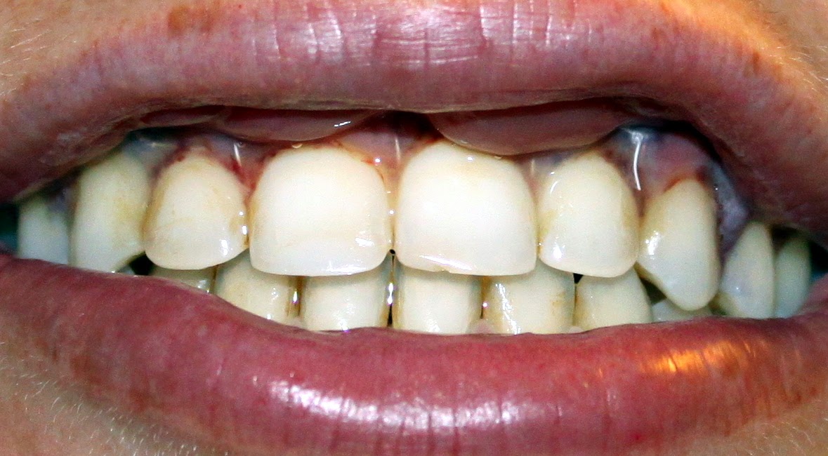
Remember a few months ago when I was opposed to having crown lengthening surgery? I had the *awesome* dental procedure performed yesterday. They removed the gum and the bone from around 6 teeth - more bone than they were expecting!

You can see some of the stitches. Yay!

Really though, I'm just being dramatic. It went totally fine and I haven't even needed a single one of my prescriptions painkillers. The worst part was being able to hear the procedure. There's something...unnerving about listening to someone scraping your bone away.

Still, I think the results are going to look amazing. I love my new, adult-size teeth!

And, yes, they're all icky and brownish right now (even more so since the photo above was taken.) The post-surgery prescription mouthwash I have to take is brutal. It HATES white teeth!

Popular posts from this blog

Cake Mix Pancakes with No Eggs

When making Cake Mix pancakes , the scrumptious possibilities are endless. Red Velvet cake mix pancakes. Chocolate cake mix pancakes. Butter Pecan cake mix pancakes. Funfetti cake mix pancakes. (Yes, Funfetti cake mix pancakes!) With this 2-ingredient recipe, you can turn your favorite cake mix into your favorite pancakes. Pancake making at its finest. Cake Mix Pancakes with No Eggs Personally, I think my funny napkin is the icing on the (pan)cake. It's Sunday morning and you're planning to do all the things today - scrub those grody baseboards, polish your quartz countertop that was supposed to be low maintenance but actually isn't at all, sort through the disaster that is the freezer.  While on your superhuman kick, you think I'm going to make my family pancakes for breakfast. Not just any pancakes - the best pancakes ever. I may even serve them as breakfast in bed! You pull out your favorite pancakes pan. Yeah, you're awesome sauce.  But oh...

10 Canned Cinnamon Roll Hacks

You're in for a treat. Today I'm sharing my best canned cinnamon roll hacks and improvements for turning store-bought cinnamon rolls, like the Pillsbury Grands ones or even the store brand, into something special. Dry cinnamon rolls? No thank you. They need to be OOEY and GOOEY. That's just Cinnamon Roll 101. All of these ideas keep Pillsbury canned cinnamon rolls soft, company-worthy, and delicious. These are also great for taking homemade cinnamon rolls up a notch, but what a pain that is. With these better-than-homemade canned cinnamon roll hacks, you'll never bother to bake them from scratch again. Test out some of these ideas tomorrow. Won't it be nice to dig into a mouthwatering cinnamon roll for breakfast? You can't get a better start to your day than that. 10 Canned Cinnamon Roll Hacks No Eggs Needed! Actually, make that 11 easy ways to improve store-bought cinnamon rolls: you can top them with homemade coffee whipped cream . Yum! Nope, make that...

CookUnity Review 2025 – Is It Still Worth It?

Sexy Nerd and I finally gave one of those ready-made, mail-order meal services a try. We were skeptical, afraid we'd receive what's basically an expensive TV dinner, but now we're hooked. Posing with the Thai Basil Chicken meal, looking quite the professional-yet-unofficial spokesperson, if I do say so myself. Insert your favorite celebrity chef catchphrase here. “You’re like a blackjack dealer at the Flavortown Casino.” — Guy Fieri So much for my professional attire. SN zoomed out a little too far in this one. Surprise - slipper socks! Cook Unity Reviews Cook Unity meals are gourmet restaurant-quality. With the $60 off your 1st order promotion , which is DOUBLE their typical discount, you can taste these meals for yourself practically for free! This blog post has not been sponsored in any way by Cook Unity or any other meal delivery service. We just really love the meals! The Cook Unity Mushroom Cavatelli with Mascarpone and Chives pairs nicely with Cook Unity's M ixe...

Jessner Peel Before and After: My Chemical Peel Results, Recovery, and Tips

This article has been updated! My new chemical peel post, which includes pricing, Jessner peel before and after photos, product recommendations, and a helpful timeline for scheduling your treatments, is at the bottom. My original Jessner peel post (one of the most popular on my site of all time) is at the beginning. Original Chemical Peel Article Considering a chemical peel? I recently underwent my first Jessner peel and thought I'd share my results, post a Jessner peel review, and answer some frequently asked chemical peel questions. (I'm guessing that "Does a chemical peel hurt?" is a biggie!) I'd been planning to order an over-the-counter peel when we were in Iceland , but my computer led me a different direction. I decided to do this on a whim after Groupon greeted me one morning with a great $40 chemical peel deal. Now, I can read your mind. You just gasped in horror and thought  You trusted your face to a  discount  chemical peel?!  You're won...

How to Move a Mattress

My site is popular for reviewing memory foam mattresses. With today's bed-in-a-box options lasting much longer than the traditional 7 years of a spring mattress, there's a good chance you'll eventually need to move one. But how? This is  how to move a mattress  without damaging it - even by yourself!  When we were faced with the challenge of moving our beloved Amerisleep AS3  to our new home, it seemed like my readers would enjoy the details. This handy tip should work for any memory foam bed, including Casper, Leesa, and Nectar.  I'm happy to report there is an extremely simple way to do it. Apartment and dorm dwellers rejoice! How to Move a Mattress At first, I wasn't sure how to move our king-size mattress down a flight of stairs. It's a problem we've dreaded solving ever since we made the decision to build a new house.  The answer? It was right in the back of our truck.  Ratchet straps . This solution could also serve as a 'How To' for returning ...

Instant Pot Oatmeal & Quinoa Recipe (Healthy Egg-Free Breakfast)

*Do not add chia seeds - see note at the end of this recipe. In response to my popular Instant Pot Explosion blog post, I've had a few blog readers ask for my oatmeal with quinoa recipe, which is made in the Instant Pot. This seems a bit odd...you guys aren't trying to recreate that gooey mess in your own kitchens, right?  My recipe does make delicious, foolproof Instant Pot oatmeal. It's only for patient people though. Whatever you do, do not manually release the pressure valve at the end of the cooking cycle! This recipe is also great in a Crock Pot, though that method takes longer. I like to set the temperature to Low before bed. What a hearty, indulgent breakfast to wake up to!  I've been cooking up batches of my Oatmeal with Quinoa for years, long before I'd heard of the Instant Pot, and have even gifted the dry ingredients to health-conscious friends and family, who've suggested I sell this. Shark Tank, here I come! Oatmeal with Quinoa No eggs/...

Dental Memes

As the manager of two successful dental offices, my favorite memes are ones I can share with my dentistry dream team.  Happy Team = Living the Dream! You don't have to work in dentistry to enjoy these. After all, everyone is a dental patient. You have visited the dentist within at least the year...right? (No guilt if you haven't! I've scheduled patients who haven't seen a dentist since the 1970s. Dentists, dental assistants, dental hygienists, and dental administrators have seen it all. We love this field because we love helping our patients. It's never too late to get back on track!) Funny Memes for Dentists Reminder: National Dentist's Appreciation Day is March 6th! Funny Memes for Dental Hygienists Reminder: National Dental Hygienist Appreciation Week is always the 2nd week of April! Funny Memes for Dental Assistants Reminder: National Dental Assistant Appreciation Week is always the 2nd week of March! Funny Memes for Dental Office Administrators Reminder: Ad...

Funny Christmas Memes

What's that? You're sick of this year and sick of the cold weather outside and, considering it's winter, are literally sick with a cough and runny nose? (Yuck.) I'm posting this early in December. Did you know it's technically still Autumn until the 21st, meaning we do the majority of our Christmas celebrating - decorating, shopping for gifts, office parties, holiday markets - in the fall? Such silliness. If the old saying is true and laughter truly is the best medicine, memes are a delightful prescription! You're going to be feeling better in no time, sickie. Funny Christmas Memes Last year's  Christmas Memes  post, which include plenty of inappropriate laughs that are in poor taste and not suitable to share with friends and family (aka the funniest ones for the holidays) is still raking in the ol' blog traffic. Welcome to the site, all you little Santas and Elves and Reindeer! Back by popular demand, here are new Funny Christmas Memes for 2023!

Reuzel: Grooming Tonic Industry Review

I'm looking out for you, my bloggy friends. At my last haircut, the hairdresser shared his favorite hair product of all time, REUZEL (which I'd never heard of), with me and I had enough sense to get the details to share with you. He didn't even have a bottle of it to sell me. It was a genuine, honest review. Also, are they still called hairdressers? Is this the equivalent of calling your flight attendant a stewardess? Stylist? Barber? Reuzel  Grooming Tonic Review You know those men who have the softest, most perfect hair and it seems so unfair because most men don't even care about their hair? (Or so they say.) I think this is their secret. While you're here, be sure to read my  funny haircut story . Geez, I'm awkward. The fact that I was brave enough to ask to take this photo at the salon is proof I love my blog readers. Never heard of it? That's probably because Reuzel Grooming Tonic is marketed toward men. From reading their endless 5-star reviews, men ...

Grilled Stuffed Burrito – Taco Bell Copycat Recipe

From ages 16 to 18, yours truly worked at Taco Bell. I was there when the Grilled Stuffed Burritos were first introduced and received special training on how to make them. So, yeah, I'm kind of an expert. To this day, that annoying, high-pitched "beeeeeeeep" of the Taco Bell grill agitates me. The burrito is burning! I've been known to yell "get the grill" as a customer in the Taco Bell dining room, much to SN's mortification. This Copycat   Taco Bell Grilled Stuffed Burrito recipe  (courtesy of an actual Taco Bell employee) is a perfect example. I know I'm getting my fast food chains mixed up here, but let's supersize it and make ours XXL! SN will be quick to tell you that there are pros and cons of being married to a blogger.  On the plus side, I love to cook up tasty new foods to post on my blog. He never seems to mind this part. Can we make Grilled Stuffed Burritos at home? Sure, why not. Taco Bell Grilled Stuffed Burrito Copycat (Wa...