My Amerisleep AS3 Unboxing Video (Surprise, my voice is ridiculous!) If I can (just barely) do it, you can totally tackle a bed-in-a-box by yourself. Updated 10/15/22 Amerisleep's AS5 was recently featured as the 'Best Soft Mattress in a Box' by Good Housekeeping , with the panel of reviewers noting: Pressure relief for side sleepers Taller than other boxed mattresses Good customer service Amerisleep Mattress Reviews We've been happy Amerisleep customers since purchasing our first AS3 mattress more than 9 years ago. Now we also have an AS2 and an AS4 (the AS3 is still our favorite). Born with chronic insomnia (even as a baby - my family insists I was a nightmare), the struggle to improve my sleep is my life. My husband, the overly-analytical mechanical engineer, was initially skeptical of a mail-order mattress, but he was quickly won over. 2012: Wine glass test, sans wine. I was fairly confident our brand-new mattress would pass with f
This is my "Can you believe these are really my teeth?!" face.
Braces Before & After
My mom insists I've done so much to my teeth that they're going to fall out. IT DOESN'T WORK THAT WAY, MOM!
- I'd recently gotten my braces off. Teeth with braces are impossible to keep clean.
- In preparation for gum surgery, I'd been using a prescription mouthwash that removes any trace of white from your teeth.
Fearing braces, which I was convinced would be painful (not to mention that I was more than awkward and dorky enough without a mouthful of metal), I went through life with goofy teeth, embarrassed by my high school photos, then college photos, and even my wedding photos. As far as I was concerned, I looked like a hillbilly.
On our honeymoon, showing my awful teeth
Working in a dental office, I was finally persuaded to improve my teeth after seeing firsthand the difference cosmetic dental work can make. It seemed like I could have my fractured front teeth jazzed up with just a little composite filling material.
Quick, painless, and easy, right?
HA!
At my initial consultation, the dentist shared in my excitement that my front teeth were going to look amazing when she was done with them. A little composite was just what they needed.
But before she would even consider doing that, it was time for braces.
Braces BEFORE Photos: November, 2011 (Blech!)
When I was in 6th grade, my mom took me for an orthodontic evaluation in San Jose. I've probably embellished this in my mind over the years, re-imagining what was actually said, but I remember the orthodontist insisting that I would need jaw surgery.
Specifically, he described the procedure as one where an incision would be made on the roof of my mouth, front to back, the skin would be peeled back, and my jaw would be broken before being stitched back together. I must have misheard, right? My mom and the orthodontist seemed genuinely surprised when I burst into tears.
Truth be told, having braces wasn't as bad as I'd imagined. They're a nuisance, but nothing about the process of having them applied, adjusted, or removed ever hurt very much. Sometimes, I even received compliments on my brace face, especially after discovering the complexion-brightening effect of turquoise bands.
Hooray for brightly colored orthodontic bands!
Of course, there were some embarrassing aspects of having braces. One day, Sexy Nerd and I went to a Thai restaurant for lunch and I ordered a noodle dish. We were having a great time, enjoying our food, when I began choking - full on, red-faced, tears-streaming choking to death.
A long noodle had somehow hooked itself onto my braces and stayed there, even after I'd swallowed it!
Even worse (well, maybe not worse than a near death experience, but close), my orthodontist went crazy with the wires (he had to...I think) and the rubber bands, leaving me with teeth that were unflossable, ridiculous to clean, and looked like they were constantly encased in slime.
It's a mandatory rubber band - NOT DROOL!
(Oh gawd, I just noticed there's also what appears to be a tiny hair caught in the rubber band. The photos I take for my blog readers.)
(Oh gawd, I just noticed there's also what appears to be a tiny hair caught in the rubber band. The photos I take for my blog readers.)
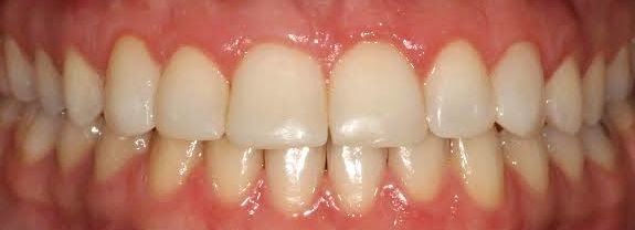
A little after two years later, my teeth looked like this:
Braces AFTER Photos: 2014 (Oooh.)
Now, it was finally time for the original dentist to slap that composite on my front two teeth and call it a day. Right??
(I think you can guess where I'm heading with this.)
Wrong! Next, it was time for a delightful procedure called "crown lengthening." Never heard of it? I hadn't either. As my dentist explained, crown lengthening means the gum and the bone are removed to expose more of the tooth. Dentists are sick people, aren't they?
Actually, despite the scary-sounding description, crown lengthening is no big deal. I had it done from teeth 6-11 (upper canine to upper canine) and it was painless. The most difficult part was when the dentist and his assistant called out for someone to change the music that was playing. Each replacement song was worse than the last, to the point of ridiculousness "like a rhinestone cowboy" and I was having trouble stopping myself from laughing.
When someone is cutting into your gum and your bone, common sense says you do not want to laugh or move in any way whatsoever.
Actually, despite the scary-sounding description, crown lengthening is no big deal. I had it done from teeth 6-11 (upper canine to upper canine) and it was painless. The most difficult part was when the dentist and his assistant called out for someone to change the music that was playing. Each replacement song was worse than the last, to the point of ridiculousness "like a rhinestone cowboy" and I was having trouble stopping myself from laughing.
When someone is cutting into your gum and your bone, common sense says you do not want to laugh or move in any way whatsoever.
12 day post-operative crown lengthening photo - you can still see where the stitches were. Why did I put up with those wimpy Chiclet teeth all those years?
And when my gums were fully healed, the results really looked great:
Ta da! Spit bubbles and all, I was loving the new me.
My smile was so improved after the braces and crown lengthening surgery that I almost skipped the additional cosmetic work on my front teeth altogether. But after all that trouble, I figured I may as well go all out. I brought the dentist a photo of what I would like my teeth to look like, in an optimistic but surely unrealistic request.
I was a little embarrassed to show her, but here was my dream:
The enormous smile of Giada De Laurentiis, who is simultaneously gorgeous and looks like she might just be able to eat you.
(She has had a lot more work than the cheap composite buildups I was getting.)
The dentist acknowledged that it would be a challenge, but said she would try her best. While working on me, I could tell that she and her assistant were becoming more and more excited about the results they were seeing.
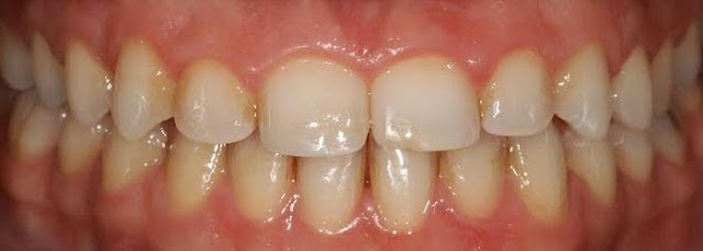
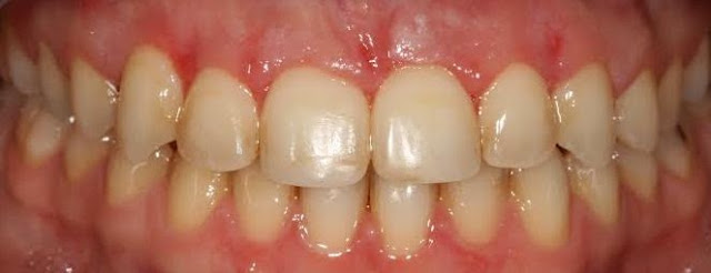
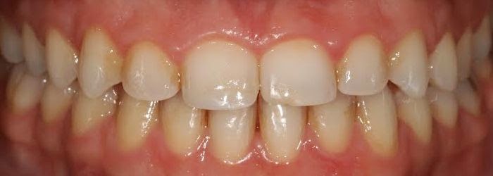
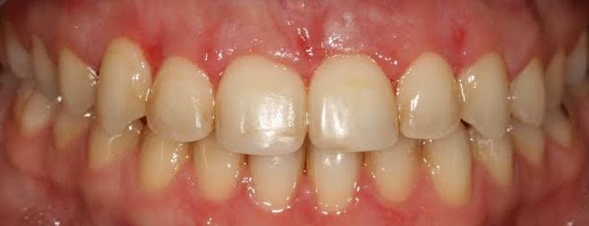
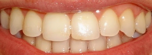
MY FABULOUS NEW TEETH!
!!!!!!!
That last part took two visits and six hours and I would gladly have come in a hundred times if that's what was needed. I love my new smile! For the first time in my life, I finally look like a grown up.
I still can't believe it. I've been smiling at everyone, probably looking insane, and I'm not going to be able to stop anytime soon. Would it be completely unreasonable for me to retake my college graduation photos? Maybe I can convince Sexy Nerd to shoot a wedding "update", gown and all, if it means going back to Hawaii...
My teeth are not looking so great at the moment.
There are many respectable ways to chip your front tooth over the 4th of July weekend. Corn on the cob? Seed in a watermelon eating contest?
I get to tell my dentist I was gnawing dried marshmallow off a spatula.
Whoops! Sorry, Dr. Romo.
There's a whole team of Albuquerque dentists to thank for my life-changing new smile. I would wholeheartedly recommend any of them.
- Dr. Seth Stockton and Dr. Erin Stockton
- Dr. Rachelle Shaw and Dr. Audrey Rawson with ABQ Pediatric Dentistry
- Dr. Carlos Torrebiarte with Cottonwood Orthodontics
- Dr. Johanna Romo
- Dr. Kevin Harrison with Bear Canyon Periodontics
- Dr. Mark McConnell
My teeth are not looking so great at the moment.
There are many respectable ways to chip your front tooth over the 4th of July weekend. Corn on the cob? Seed in a watermelon eating contest?
I get to tell my dentist I was gnawing dried marshmallow off a spatula.
Whoops! Sorry, Dr. Romo.





